一文带你了解破壁机:原理、功能及用途的演变
一文带你了解破壁机:原理、功能及用途的演变
破壁机是个什么机器?破壁机这个品类有比较大的争议:有的人认为破壁可以让营养物质吸收更快更全;而另一个观点是破壁根本没必要,因为吃下去的食物会在肠胃里面“化学破壁”。

好多人认为破壁机仅仅是将食物打得更为细碎,然而在显微镜之下呈现的真相或许会令你感到意想不到,不同机器带来的实际效果之间的差异,要比你所想象的大得多。

破壁机的起源与演变


破壁机当初在美国被发明出来的时候,主要用处是搅拌以及制作果汁。它的核心是能够高速旋转的刀片,借助物理方式把食物给打碎。早期时候的产品功能比较单一,主要是为对饮品有着快速制作需求的家庭提供服务。
随技术进展,电机转速大幅提高,由此更细腻的食物处理效果产生,口感显著改善,进而其应用范围从单纯饮品,渐扩至更广大家庭烹饪场景里 。

工作原理与核心差异


破壁机的全部核心功能都一样,皆是借助电机带动刀片快速转动去粉碎食材,此过程实际上是对食物细胞结构实施物理破坏,其最终呈现效果的优劣,并非单纯由“能否破壁”来决定。

真正的有别之处在于“破壁程度”,有些机型仅仅能够把细胞团切割成更小块状,然而性能更为强劲的产品却能够达成细胞层级的粉碎,这种精细程度的不一样,直接裁定了成品的口感以及营养释放效率。


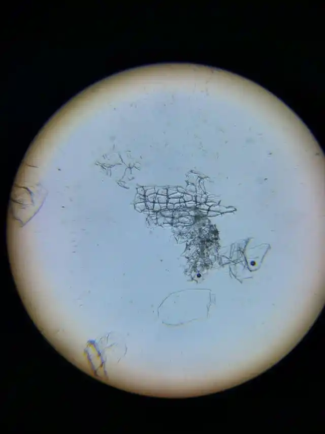
从显微镜看破壁效果

可以借助显微镜进行观察,进而能够直观地对比破壁的效果。比如说,一旦对洋葱这类食材予以处理,当某些型号的破壁机完成处理之后,在显微镜下依旧能够看到数量较为可观的没有被完全打散的大细胞团,并且细胞壁的结构保持得相对完整 。

另一款西屋破壁机所处理出来的豆浆,于显微镜之下,完整的细胞结构基本难以看见,食材大多呈现为糊化的状态。这般细胞级别的粉碎,致使饮品的口感极其顺滑,几乎没有丝毫颗粒感 ,有着非同寻常的顺滑效果 。

刀片设计的关键影响

在破壁效果方面所生成体现出的差异,是和刀片的设计存在着紧密关联的。刀片所具备的形状,还有其数量,以及倾角,再加上锋利程度,这些一起共同决定了切割食材时的路径以及效率。设计优良的刀片能够更彻底地去粉碎食物细胞。

比如呀,经过对比测试得出,西屋破壁机的刀片结构,在面对那种坚硬或者纤维较多的食材之际,展现出更为高效的状况。它的切割更为充分,使得食材在杯体内的循环死角得以减少。从而达成了更为均匀的、更为细腻的处理结果 。

加热功能拓展应用场景
当今时代不少破壁机组合了加热底盘,这显著扩大了其功能范围,具备加热功能后,机器不再只限于制作冷饮,能够直接达成煮豆浆之举,还能进行煲汤之务,以及完成熬粥等有加热需求的食谱制作 。

例子是,西屋有一批型号,它们的体积很是小巧,只是可借由装备专业的炖盅配件方式,还能够达成隔水去炖煮以及煮茶等精细的烹饪办法。这样一种具备多种功能的设计,提高了厨房电器的使用效率以及空间的利用效率。
如何根据需求选择产品

针对那些家庭成员数量较多的家庭,或者在日常生活当中经常有着制作豆浆、磨粉以及绞肉等一系列复杂需求的用户而言,建议挑选功能涵盖全、功率比较大、配件数量丰富的处于中高端层次的机型。这样的一类产品能够应对更为繁重的工作任务,进而能够提供更为稳定的表现。

若是只不过偶尔去制取果汁、奶昔或者单人份豆浆,那么一款基础类型的小容量破壁机便全然足够,它所占面积小,操作简易,清洗便利,能够很好地满足轻度使用的需求,并且经济实惠 。

在那选择破壁机的当儿,你最为看重的究竟是它的哪一项功能呀,又或者是哪一个特点呢,欢迎于评论区去分享你自己的看法哟,要是觉着本文是有帮助作用的,那也请进行点赞予以支持呐。
